Tema 1. Salud y tecnología

Actualmente sabemos que esa luz es una forma de radiación electromagnética de naturaleza similar a la de la luz visible o a las ondas de radio.

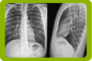
¿Porque los rayos X pueden pasar a través del cuerpo?

Los rayos X son invisibles a nuestros ojos, tienen una alta energía y una longitud de onda corta lo que los hace capaces de atravesar los tejidos.

Al pasar a través del cuerpo, los tejidos más densos, como los huesos, bloquean los rayos más intensamente que los tejidos de menor densidad como los pulmones.

De esta forma los rayos que pasan se plasman en la radiografía dejando en color obscuro las zonas que bloquearon el paso de los rayos.

Unidad 3
Página 4/14

DR© Instituto Tecnológico y de Estudios Superiores de Monterrey, Universidad Virtual | México, 2009